La radiografía convencional ha sido durante mucho tiempo una herramienta básica en el diagnóstico médico, puesto que ha proporcionado información valiosa sobre la estructura anatómica del cuerpo. Se tiene 1895 por la fecha de nacimiento de la primera radiografía, realizada en placas photos de vidrio, y todo el siglo XX ha estado jalonado por un avance imparable en la evolución de las imágenes médicas de tipo estático.
Con el siglo XXI está muy avanzado, una nueva tecnología avanza un paso más allá al permitir la visualización en tiempo real del movimiento de diferentes estructuras corporales con mucha menos emisión de radiación que la fluoroscopia. Se trata de radiología digital dinámica, o DDR por sus siglas en inglés. La radiología digital dinámica ha surgido como una innovadora tecnología de rayos X que acerca a los profesionales de la salud a una visión más completa y detallada de las funciones fisiológicas del paciente.
“El DDR permite obtener una serie de imágenes digitales que capturan la anatomía en movimiento y, en consecuencia, en sus extraordinariamente variadas aplicaciones”, resume el Dr. Vicente Martínez de Vegajefe del Servicio de Diagnóstico por la Imagen del Hospital Universitario Quirónsalud Madridcentro que acaba de incorporar el primer equipo portátil en Europa de estas características.
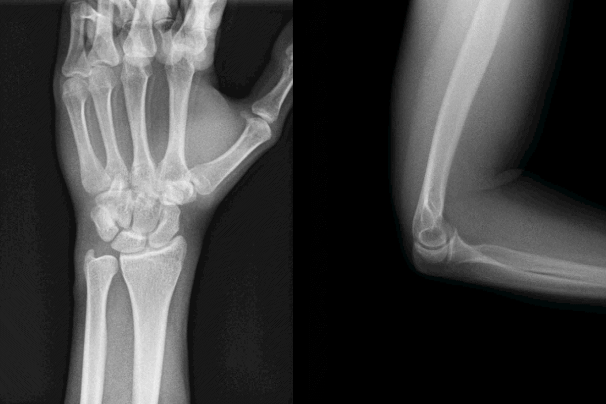
Una de las principales ventajas de esta tecnología se encuentra en los estudios ortopédicos, puesto que permite observar el movimiento de las articulaciones, como la muñeca, el hombro o la rodilla. Este resultado es especialmente útil para evaluar posibles lesiones o disfunciones en estas áreas, con una investigación más precisa y personalizada en el tratamiento de los pacientes.
Asimismo, la radiología digital dinámica ha demostrado su gran utilidad en el estudio de la columna vertebral. Al capturar imágenes en flexión y extensión, puede evaluar el movimiento de la columna y detectar posibles anomalías o afecciones, como hernias de disco o escoliosis.
Pulmones y corazón en funcionamiento
Otra área en la que técnicamente esto tiene un gran potencial es en el estudio de la función pulmonar. Mediante la captura de imágenes de varios ciclos respiratorios completos, se puede observar cómo se llenan y vacían los pulmones, así como el movimiento del diafragma, lo que permite identificar patologías pulmonares como adherencias pleurales o Áreas de Ventilación deficiente, escapar de la monitorización de pacientes en unidades de cuidados intensivos y en el tratamiento de enfermedades respiratorias.
En la zona torácica la radiología dinámica digital también nos ofrece información sobre la vascularización de los pulmones y es capaz de detectar zonas de trombosis o baja perfusión gracias a un software específico de este equipo analizando la densidad de los píxeles de las imágenes. Esta función es de gran utilidad en el estudio de los enfermos que se encuentran en la Unidad de Cuidados Intensivos a los que se puede acceder con este equipo gracias a que es portátil.
Esta técnica es beneficiosa para una gama más amplia de pacientes, desde aquellos que sufren lesiones deportivas o accidentes automovilísticos hasta aquellos que padecen enfermedades crónicas o necesitan cuidados intensivos. Su capacidad para obtener imágenes en movimiento en tiempo real con baja radiación brinda a los médicos una herramienta muy útil para la precisión diagnóstica y la planificación del tratamiento.
El Dr. Martínez de Vega afirma que «La radiología digital dinámica ofrece una nueva información que no habíamos visto hasta ahora en radiología convencional, pero es que, además, la radiación que recibe un paciente que se encuentra en una radiografía digital dinámica es similar a una placa postero-anterior y lateral de radiografías convencionales, pero aportando mucha más información”.
En recuperacion, la radiología digital dinámica es revolucionaria en el campo del diagnóstico médico al proporcionar imágenes en movimiento que permiten una comprensión más completa de la anatomía y función fisiológica del paciente. Se ha pasado de obtención de información morfológica a información funcional y cuantificada. Su aplicación en estudios de ortopedia, columna vertebral, función pulmonar y patologías cardiovasculares ha demostrado su eficacia y su capacidad para mejorar la atención médica.
Esta tecnología prometedora, que ya es una realidad en el Hospital Universitario Quirónsalud Madrid, está cambiando la formación en que los médicos diagnostican y tratan a sus pacientes, con un enfoque más preciso y personalizado en el cuidado de la salud.
